Kıbrıs Tam Ağız Diş Restorasyonu: Öncesi ve Sonrası | buykibris.com

Kıbrıs Tam Ağız Diş Restorasyonu: Öncesi ve Sonrası


Lefkoşa / Ortaköy

İlan No
7694

İlan Tarihi
29-04-2026

Klinik Türü
Diş Kliniği

Randevu Yöntemi
Her İkisi

Lokasyon
Lefkoşa

Acil Kabul
Var

Anlaşmalı Sigorta
Var

Erişilebilirlik
Tam Erişim

Çalışma Düzeni
Hafta İçi + Cumartesi

Tercüman / Çok Dilli Destek
Var

Otopark
Var

YENİ ÜYE
RODOSDENT +90 (548) 842 78 79
Üyelik Tarihi : 28 Nisan 2026

İlan Açıklaması
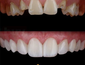
Bu görsel, RodosDent Diş Kliniği Kıbrıs şubemizde gerçekleştirilen comprehensive (kapsamlı) bir tam ağız diş restorasyonu vakasının öncesi ve sonrası durumunu sunmaktadır. Tedavi öncesinde diş eksiklikleri, aşınmalar ve estetik sorunlar yaşayan hastamız için, uzman hekimlerimiz tarafından detaylı bir tedavi planı hazırlanmıştır. Kıbrıs'taki kliniğimizde uygulanan implant ve porselen kron tedavileriyle, hastamızın diş yapısı hem estetik hem de fonksiyonel olarak tamamen yenilenmiştir. Bu sonuç, kişiselleştirilmiş tedavi süreçlerimizin ve teknik uzmanlığımızın bir yansımasıdır.
Gosterim: 19
Özellikler

Branşlar (Seçili)

Dahiliye
Genel Cerrahi
Kardiyoloji
Nöroloji
Ortopedi ve Travmatoloji
Kadın Hastalıkları ve Doğum
Çocuk Sağlığı ve Hastalıkları
Üroloji
KBB
Göz Hastalıkları
Dermatoloji
Endokrinoloji
Gastroenteroloji
Psikiyatri
Psikoloji
Fizik Tedavi ve Rehabilitasyon
Diş Hekimliği (Ağız ve Diş Sağlığı)
Estetik, Plastik ve Rekonstrüktif Cerrahi
Beslenme ve Diyet
Anesteziyoloji
Enfeksiyon Hastalıkları

Görüntüleme & Tanı

Ultrasonografi
Röntgen
Mamografi
EKG / EKO
Endoskopi
Kolonoskopi
Göz Görüntüleme (OCT vb.)
Diş Panoramik Röntgen (OPG)

Laboratuvar

Biyokimya
Mikrobiyoloji
Hematoloji
Hızlı Testler (POCT)
Numune Toplama Noktası
Patoloji İş Ortaklığı

Diş Kliniği Hizmetleri (Varsa)

Genel Muayene
Dolgu
Kanal Tedavisi
Diş Çekimi
İmplant
Ortodonti
Pedodonti (Çocuk Diş)
Diş Taşı Temizliği
Beyazlatma
Protez

Estetik & Dermatoloji (Varsa)

Medikal Estetik Uygulamaları
Lazer Epilasyon
Cilt Bakımı
PRP / Mezoterapi
Dolgu / Botulinum Uygulamaları
Saç Ekimi Danışmanlığı

Fizik Tedavi & Rehabilitasyon (Varsa)

Manuel Terapi
Elektroterapi
Egzersiz Programı
Sporcu Rehabilitasyonu
Ortez / Protez Danışmanlığı

Kadın Doğum (Varsa)

Gebe Takibi
Ultrason
Aile Planlaması
Smear / Tarama
Menopoz Polikliniği

Çocuk (Varsa)

Bebek / Çocuk Muayenesi
Aşı Uygulamaları
Gelişim Takibi

Hasta Hizmetleri

Online Randevu
Online Sonuç Görme
Evde Sağlık / Ziyaret
Evde Numune Alma
Refakatçi Alanı
Çocuk Oyun Alanı

Sigorta & Ödeme

KKTC Sosyal Sigorta ile Anlaşma
Özel Sağlık Sigortası ile Anlaşma
Kredi Kartı
Taksit İmkanı
Kurumsal Faturalandırma

Erişilebilirlik & Güvenlik

Engelli Erişimi (Rampa/Asansör)
Engelli Otoparkı
Görme/İşitme Destekleri
Yangın Güvenliği
Acil Durum / Afet Planı
Sterilizasyon / Enfeksiyon Kontrol

Kalite & Ruhsat

Sağlık Bakanlığı Ruhsatı
ISO 9001
Klinik Protokolleri Mevcut
Denetim Kayıtları Mevcut
Reklam Alanı